Trong một vài trường hợp đặc biệt, bác sĩ sẽ chỉ định đặt band niềng răng cùng với các khí cụ như mắc cài, dây cung. Nếu đang tò mò không biết band niềng răng là gì? Hình dáng cụ thể ra sao? Khi thực hiện có đau không? thì đừng bỏ qua các thông tin dưới đây nhé.
Mục lục
- Giải đáp cụ thể band niềng răng là gì?
- Khi nào nên sử dụng band niềng răng?
- Khi nào không nên dùng band niềng răng?
- Các ưu điểm đáng nói của band niềng răng
- Quy trình gắn band niềng răng
- Gắn band niềng răng liệu có đau?
- Band niềng răng được gắn trong thời gian bao lâu?
- Band được gắn ở giai đoạn nào của quy trình niềng răng?
- Có thể không gắn band niềng răng không?
Giải đáp cụ thể band niềng răng là gì?

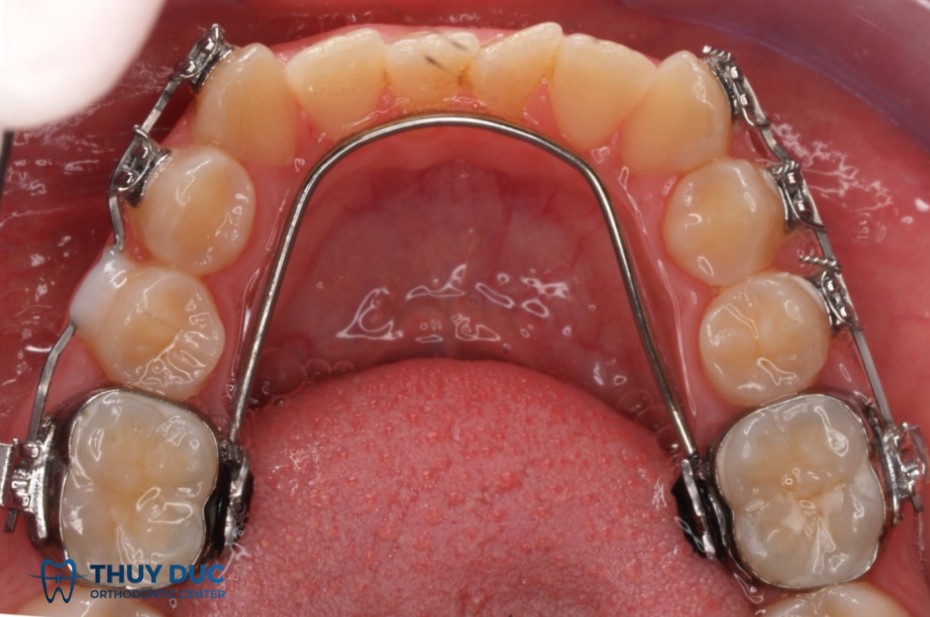
Band hay “khâu chỉnh nha” là là một vòng kim loại mỏng bằng thép không gỉ y khoa, được thiết kế để ôm sát quanh thân răng cối lớn (răng hàm 6 hoặc 7). Mục đích chính của nó là tạo một điểm neo vững chắc để cố định các khí cụ chỉnh nha khác như lò xo, dây cung, móc chun, hoặc khí cụ mở rộng cung hàm (expander), headgear, Nance hay TPA.
Cấu tạo cụ thể của chúng bao gồm:
- Các móc phía ngoài để móc chun hoặc lò xo
- Các ống phía má để luồn dây cung
- Các ống phía lưỡi để gắn các khí cụ
Các loại band niềng răng hiện nay thường được sản xuất sẵn theo nhiều kích thước và hình dạng khác nhau, có thể đi kèm ống hàn sẵn (pre-welded tube) hoặc các cấu trúc phụ trợ khác, tùy theo mục đích điều trị.
Band niềng răng đặc biệt hữu ích trong những trường hợp cần kiểm soát lực lớn hoặc khi răng không đủ điều kiện để gắn mắc cài trực tiếp. Tuy nhiên bác sĩ cũng cần tính toán cẩn thận không làm tổn thương đến các răng của người niềng răng.
Khi nào nên sử dụng band niềng răng?
Không phải ai niềng răng cũng cần gắn band, nhưng trong một số trường hợp, bác sĩ sẽ chủ động chọn band vì nó giúp răng ổn định hơn, chịu lực tốt hơn và hạn chế tình trạng bung sút trong quá trình chỉnh nha.
Dưới đây là những đối tượng thường được khuyên dùng band:
1. Người cần lực kéo mạnh hoặc khí cụ đặc biệt
Nếu bạn cần đeo các loại khí cụ như headgear (niềng ngoài mặt), khí cụ nong hàm hoặc thiết bị kéo răng cối, bác sĩ thường sẽ dùng band để cố định vì nó chắc chắn hơn mắc cài thông thường.
Band giúp giữ ổn định răng trong suốt quá trình kéo, tránh bị tuột hoặc xê dịch khi chịu lực mạnh.

2. Người có răng cối đã trám hoặc bọc mão
Với những răng cối đã trám hoặc bọc sứ, phần men răng thật ít đi nên rất khó để gắn mắc cài bằng keo thông thường.
Trong trường hợp này, bác sĩ sẽ dùng band để ôm quanh răng, giúp cố định chắc hơn mà vẫn an toàn cho cấu trúc răng thật bên dưới.
3. Trẻ em hoặc người có răng mới mọc, bề mặt men chưa ổn định
Với trẻ nhỏ hoặc thanh thiếu niên có răng mới mọc, men răng thường còn mềm và bề mặt chưa đều, dễ bong mắc cài.
Band giúp giữ khí cụ chắc chắn hơn và tránh hư hại cho răng trong giai đoạn răng chưa phát triển hoàn chỉnh.
4. Người thường bị bong mắc cài ở vùng răng cối
Với những trường hợp đã từng bong mắc cài nhiều lần do ăn nhai mạnh hoặc vệ sinh chưa tốt, bác sĩ có thể chuyển sang dùng band ở vùng răng cối. Loại này bền hơn, ít bong hơn và giúp quá trình chỉnh nha diễn ra ổn định hơn.
Khi nào không nên dùng band niềng răng?
Band tuy bền nhưng không phải lúc nào cũng phù hợp. Một số người có tình trạng răng miệng đặc biệt thì không nên hoặc cần cân nhắc kỹ trước khi gắn band.
1. Người có vệ sinh răng miệng kém, nướu yếu hoặc dễ chảy máu
Band ôm sát quanh răng, vì vậy nếu không vệ sinh kỹ, thức ăn và mảng bám rất dễ bị mắc lại quanh viền band.
Điều này có thể làm nướu bị viêm, sưng đỏ, thậm chí chảy máu hoặc có mùi hôi.
Với những người có vệ sinh răng chưa tốt, bác sĩ thường chưa đặt band ngay mà sẽ hướng dẫn chăm sóc răng nướu trước, để tránh làm tình trạng viêm trở nên nặng hơn trong khi niềng.
2. Người đang có bệnh nha chu hoặc răng cối yếu
Nếu răng cối bị lung lay, tụt nướu hoặc tiêu xương quanh răng, band có thể tạo thêm áp lực và khiến bệnh tiến triển nhanh hơn.
Bác sĩ sẽ kiểm tra kỹ sức khỏe răng và nướu trước, và nếu thấy không phù hợp, có thể chọn loại mắc cài dán trực tiếp nhẹ hơn để giảm tải lực tác động.
Các ưu điểm đáng nói của band niềng răng
1. Band có độ bền và độ ổn định cao hơn

Một trong những lý do lớn nhất khiến bác sĩ vẫn chọn band là vì nó cực kỳ chắc chắn và ít bị bong trong suốt quá trình niềng.
- Các nghiên cứu đối chứng lâm sàng (RCT) cho thấy: band có tỉ lệ bong thấp hơn đáng kể so với mắc cài, đặc biệt trong 6 tháng đầu, khi lực kéo và lực nhai tác động mạnh.
- Band ôm trọn quanh thân răng, giúp phân bố lực đều và hạn chế bong tróc dù người niềng răng ăn uống, chải răng mạnh hoặc có men răng khó bám.
Điều này rất quan trọng, vì nếu mắc cài, toàn bộ dây cung và mắc cài phía sau sẽ lỏng, khiến quá trình niềng bị gián đoạn hoặc phải gắn lại nhiều lần. Còn với band, bác sĩ có thể yên tâm hơn về tính ổn định lâu dài, đặc biệt trong các kế hoạch điều trị phức tạp.
2. Band rất phù hợp cho các khí cụ chịu lực mạnh
Không chỉ có tác dụng giữ mắc cài, band còn là nền tảng để gắn thêm các khí cụ chỉnh nha đặc biệt, những khí cụ này cần điểm neo vững chắc để truyền hoặc giữ lực lớn.
Một số ví dụ điển hình:
- Khí cụ nong hàm (Rapid Palatal Expander – RPE): cần lực xoay mạnh để mở rộng xương hàm.
- Headgear (khí cụ kéo đầu): tạo lực kéo ngoài miệng tác động trực tiếp lên răng cối.
- Distalizer (khí cụ đẩy răng cối ra sau): yêu cầu neo chặn chắc để tránh trượt.
Trong những trường hợp như vậy, mắc cài thường không đủ độ bền và dễ bong khi chịu lực kéo mạnh.
Band chỉnh nha thì khác, nhờ ôm toàn thân răng, nó giúp phân tán lực và giữ khí cụ ổn định trong suốt quá trình điều trị.
3. Band vẫn gắn được trên những bề mặt răng đặc biệt
Không phải chiếc răng nào cũng có bề mặt hoàn hảo để dán mắc cài.
Ở nhiều người, răng cối có miếng trám lớn, mão sứ hoặc bề mặt men yếu, khiến vật liệu dán không bám chắc.
Với những trường hợp này:
- Band niềng răng là giải pháp tối ưu, vì nó không phụ thuộc vào độ bám dính của men răng, mà bám cơ học bằng cách ôm quanh răng.
- Nhờ đó, bác sĩ vẫn có thể gắn mắc cài hoặc khí cụ lên vùng răng này một cách an toàn và ổn định.
4. Giảm nguy cơ bong mắc cài – tiết kiệm thời gian tái gắn
Một điểm mà nhiều người không biết là: mỗi lần mắc cài hoặc ống dán bị bong, bác sĩ phải làm sạch lại men răng, dán lại mắc cài, chờ khô, mất 10–15 phút cho mỗi lần sửa.
Trong khi với band, nguy cơ này rất hiếm xảy ra. Điều đó đồng nghĩa với:
- Ít phải quay lại phòng khám đột xuất.
- Giảm tổng thời gian điều trị.
- Ít gián đoạn lực chỉnh nha, do đó kết quả ổn định hơn.
Quy trình gắn band niềng răng
Quá trình gắn band niềng răng sẽ diễn ra theo đầy đủ các bước dưới đây:
– Bước 1: Thăm khám, chụp phim X – quang
Trước tiên, bác sĩ sẽ thăm khám tình trạng sức khỏe răng miệng của khách hàng. Có chụp phim X – quang để nhanh chóng phát hiện các bệnh lý khác.
- Nếu thấy bị sâu răng, viêm nha chu,… bác sĩ sẽ tiến hành điều trị dứt điểm trước rồi mới tiếp tục niềng răng.
- Nếu thấy khoảng cách giữa các răng hàm nhỏ, khít nhau chưa đủ không gian đặt band, bác sĩ sẽ tư vấn về đặt thun tách kẽ.

– Bước 2: Vệ sinh răng miệng sạch sẽ
Bác sĩ và y tá tiến hành vệ sinh răng miệng sạch sẽ cho khách hàng.
– Bước 3: Đặt thun tách kẽ (nếu cần thiết)
Bác sĩ sử dụng thiết bị y khoa và đặt thun tách kẽ vào vị trí cần thiết. Thời gian đặt thun tách kẽ có thể kéo dài từ 7 – 10 ngày. Đến khi thấy khoảng trống vừa đủ, bác sĩ sẽ lấy thun tách kẽ ra.
– Bước 4: Thử band niềng răng
Bác sĩ tiến hành thử band cho khách hàng. Band có nhiều kích thước để phù hợp với các trường hợp khác nhau. Lúc này, bác sĩ sẽ chọn band có kích thước vừa vặn nhất với răng của bạn. Kiểm tra độ sát khít cũng như chiều cao. Sau đó, bác sĩ tiến hành hàn mắc cài lên trên band. Có một số loại band trên thị trường đã sẵn mắc cài thì bỏ qua công đoạn này. Ngoài ra nếu cần thiết, bác sĩ sẽ hàn các khí cụ mặt trong lên trên band hoặc gửi đến Labo để hoàn thiện.
– Bước 5: Gắn band niềng răng
Bác sĩ sẽ gắn band niềng răng vào vị trí đã chỉ định trước đó. Quá trình này đòi hỏi sự chính xác, tỉ mỉ, cẩn thận. Chất liệu gắn thông thường là dạng GIC – xi măng thủy tinh chuyên được dùng trong nha khoa. Loại chất gắn này ban đầu là dạng lỏng. Khi đủ thời gian, chúng sẽ đông cứng gắn chặt với band.
– Bước 6: Gắn các khí cụ niềng răng
Sau khi đã gắn band niềng răng, bác sĩ có thể hoàn thiện hệ thống khí cụ vào bên trong khoang miệng. Ban đầu bạn sẽ chưa quen nhưng đợi khoảng vài ngày, mọi thứ sẽ diễn ra thuận lợi hơn.
– Bước 7: Hướng dẫn cách chăm sóc tại nhà
Bác sĩ sẽ hướng dẫn cách chăm sóc răng miệng khi niềng răng tại nhà. Ngoài ra hẹn bạn lịch tái khám.
Gắn band niềng răng liệu có đau?
Cảm giác khó chịu khi gắn band niềng răng là điều hầu hết mọi người đều trải qua, nhưng mức độ đau thường nhẹ và có thể kiểm soát được. Quy trình gồm 3 giai đoạn chính, mỗi giai đoạn gây cảm giác khác nhau.
1. Giai đoạn tách kẽ (đặt thun tách kẽ):
Trước khi gắn band, bác sĩ sẽ đặt các vòng thun nhỏ giữa răng cối để tạo khoảng trống. Giai đoạn này thường gây cảm giác tức nhẹ hoặc ê răng trong 1–3 ngày đầu, giống như có vật gì đó kẹp giữa răng. Cảm giác này sẽ giảm dần khi mô nướu thích nghi.
2. Giai đoạn gắn band:
Khi đã có khoảng hở đủ, bác sĩ sẽ chọn band có kích thước phù hợp và cố định band. Lúc đẩy band vào, người niềng răng có thể cảm thấy ép chặt nhẹ quanh răng, nhưng thường chỉ kéo dài vài phút. Sau khi hoàn tất, răng có thể hơi ê trong ngày đầu, nhất là khi ăn nhai, nhưng không gây đau buốt.
3. Giai đoạn mang band lâu dài và tháo bỏ:
Khi band đã ổn định, người niềng hầu như không cảm nhận thấy sự hiện diện của nó nữa. Một số người có thể thấy hơi vướng ở vùng nướu hoặc khó vệ sinh, nhưng các cảm giác này giảm nhanh sau vài ngày. Khi tháo band, bác sĩ dùng kìm chuyên dụng nhẹ nhàng tách ra nên chỉ có cảm giác nặng hoặc rung nhẹ, không đau.
Tóm lại, gắn band niềng răng không gây đau kéo dài. Cảm giác chủ yếu là tức nhẹ và ê răng trong giai đoạn đầu, hoàn toàn nằm trong ngưỡng chịu đựng bình thường và có thể giảm nhanh nhờ vệ sinh, ăn uống mềm và dùng thuốc giảm đau nhẹ khi cần.
Xem thêm: Đau răng khi gắn band niềng răng có sao không? Nên làm gì?
Band niềng răng được gắn trong thời gian bao lâu?

Thông thường, band niềng răng sẽ được giữ trong suốt giai đoạn điều trị tích cực, tức là khoảng thời gian bác sĩ đang điều chỉnh và di chuyển răng liên tục bằng hệ thống dây cung và mắc cài.
Thời gian này trung bình từ 12 đến 36 tháng, tùy vào độ phức tạp của từng ca. Ở những trường hợp điều trị ngắn hoặc niềng một phần, band có thể chỉ tồn tại vài tháng; ngược lại, trong các ca phức tạp cần neo chặn mạnh (như nong hàm, kéo lùi răng cối, hoặc headgear), band có thể được giữ cho đến gần cuối quá trình niềng.
Yếu tố ảnh hưởng đến thời gian giữ band
- Loại khí cụ sử dụng: nếu band là điểm tựa cho khí cụ nong hàm hay kéo lùi răng, nó sẽ ở lại đến khi tháo khí cụ.
- Mức độ phức tạp của ca niềng: càng phức tạp, thời gian giữ band càng lâu.
- Tình trạng răng và nướu: nếu mọi người vệ sinh kém, band có thể bị lỏng hoặc gây viêm, khi đó bác sĩ sẽ phải tháo hoặc thay bằng khí cụ khác.
Band được gắn ở giai đoạn nào của quy trình niềng răng?
Band thường được đặt ngay từ giai đoạn đầu, trước hoặc trong buổi gắn mắc cài chính thức. Trước khi gắn, bác sĩ sẽ đặt vòng tách kẽ (separators) khoảng 4–7 ngày để tạo khoảng trống giữa các răng hàm, giúp việc đặt band được dễ dàng và chính xác.
Khi quay lại, bác sĩ sẽ thử kích thước band, bôi xi măng nha khoa chuyên dụng rồi cố định band vào răng hàm. Sau khi band đã ổn định, bác sĩ mới lắp dây cung hoặc các khí cụ đặc biệt (như nong hàm hoặc headgear) gắn trực tiếp vào đó.
Xem thêm: Góc nghiêng trước và sau khi niềng răng thay đổi thế nào?
Có thể không gắn band niềng răng không?
Thực tế, band không phải là lựa chọn bắt buộc trong mọi ca niềng. Dù nó có ưu điểm về độ chắc và khả năng chịu lực, hiện nay đã có nhiều phương án khác thay thế tùy vào tình trạng răng, mục tiêu điều trị và mong muốn của người niềng. Dưới đây là các lựa chọn phổ biến và chính xác nhất theo thực hành lâm sàng hiện nay.
1. Ống dán trực tiếp lên răng hàm (bonded buccal tube)
Thay vì ôm quanh răng như band, bác sĩ sẽ dán một ống kim loại nhỏ lên mặt ngoài của răng hàm bằng keo nha khoa.
- Ưu điểm: thao tác nhanh, ít xâm lấn, dễ vệ sinh, nhìn thẩm mỹ hơn và không gây cấn nướu.
- Nhược điểm: dễ bong hơn band khi chịu lực mạnh, đặc biệt ở những ca phải kéo, nong hoặc di chuyển răng cối xa. Vì vậy bác sĩ thường chỉ dùng khi răng hàm có bề mặt men tốt và không cần neo quá chắc.
2. Ống dán cải tiến hoặc kỹ thuật dán tăng cường
Một số bác sĩ sử dụng keo dán thế hệ mới hoặc kỹ thuật dán nhiều lớp để tăng độ bám của ống dán.
- Ưu điểm: giảm nguy cơ bong, vẫn giữ được tính thẩm mỹ và dễ vệ sinh như ống dán thường.
- Nhược điểm: cần kỹ thuật chính xác và vật liệu tốt, nhưng độ ổn định vẫn chưa thể bằng band trong các ca chịu lực lớn.
3. Sử dụng mini vít chỉnh nha
Mini vít là một loại vít titan rất nhỏ được cắm tạm vào xương hàm để làm điểm neo cố định, giúp di chuyển răng mà không cần dùng band.
- Ưu điểm: chịu lực rất tốt, cho phép điều khiển răng linh hoạt, không cần gắn vòng quanh răng.
- Nhược điểm: là thủ thuật nhỏ (gây tê tại chỗ), có thể hơi ê sau khi đặt và cần vệ sinh cẩn thận để tránh viêm. Phù hợp với người không muốn band nhưng vẫn cần lực kéo mạnh.
4. Niềng trong suốt
Với công nghệ hiện đại, niềng trong suốt có thể thay thế mắc cài truyền thống trong nhiều trường hợp. Khi cần di chuyển răng hàm, bác sĩ có thể gắn thêm các nút nhỏ hoặc dùng dây thun, mini vít để hỗ trợ.
- Ưu điểm: thẩm mỹ, tháo lắp dễ, không cần band.
- Nhược điểm: hiệu quả phụ thuộc vào việc đeo đều đặn (20–22 giờ/ngày), và hạn chế trong các ca cần lực chỉnh mạnh hoặc nong hàm.
5. Ống hàn trên mão hoặc phục hình đặc biệt
Nếu răng hàm đã bọc mão sứ hoặc trám lớn, bác sĩ có thể hàn ống lên mão hiện có, hoặc làm lại mão chuyên dụng để gắn khí cụ.
- Ưu điểm: phù hợp khi men răng thật không còn đủ để dán.
- Nhược điểm: tốn thời gian phục hình, chi phí cao hơn một chút.
Xem thêm: Quá trình niềng răng diễn ra như thế nào?
Nếu có bất kỳ câu hỏi hay thắc mắc liên quan đến vấn đề niềng răng, vui lòng liên hệ HOTLINE 093.186.3366 – 086.690.7886 hoặc đăng ký tư vấn (không mất phí) với bác sĩ Đức AAO để được hỗ trợ sớm nhất ĐĂNG KÝ








