Mút tay là một trong những thói quen phổ biến nhất ở trẻ nhỏ. Với nhiều cha mẹ, đây chỉ là hành động dễ thương hoặc phản xạ tự nhiên của bé. Tuy nhiên, nếu thói quen này kéo dài, đặc biệt sau 3, 4 tuổi, nó có thể gây ra những biến dạng đáng kể trong sự phát triển của răng, hàm và khuôn mặt.
Bài viết dưới đây giúp phụ huynh hiểu rõ nguyên nhân, hậu quả và cách xử lý đúng khi trẻ có thói quen mút tay, nhằm bảo vệ sự phát triển hàm mặt khỏe mạnh cho con.
Mục lục
Vì sao trẻ mút tay?
Để giúp trẻ bỏ thói quen mút tay, trước hết cha mẹ cần hiểu vì sao trẻ lại làm vậy. Hành vi này không đơn thuần là “xấu”, mà có thể bắt nguồn từ cả yếu tố sinh lý lẫn tâm lý.
1. Giai đoạn mút tay sinh lý (0–2 tuổi)

Ở giai đoạn sơ sinh và vài năm đầu đời, mút tay là phản xạ hoàn toàn tự nhiên. Hành động này giúp trẻ tự trấn an, cảm thấy an toàn hơn khi đói, mệt hoặc lo lắng. Nhiều bé mút tay để dễ ngủ hoặc làm dịu cảm xúc khi không có mẹ bên cạnh.
Trong giai đoạn 0–2 tuổi, việc mút tay thường không gây hại, miễn là tần suất ít, lực nhẹ và không kéo dài quá lâu. Đây chỉ là biểu hiện phát triển bình thường của hệ thần kinh và cảm xúc ở trẻ nhỏ.
2. Khi nào mút tay trở thành thói quen cần can thiệp?
Sau 3–4 tuổi, nếu trẻ vẫn tiếp tục mút tay thường xuyên, đặc biệt là trong các hoạt động ban ngày hoặc khi đã có răng vĩnh viễn mọc lên, thì thói quen này bắt đầu ảnh hưởng đến sự phát triển của răng và hàm.
Phụ huynh cần lưu ý những dấu hiệu cảnh báo như:
- Trẻ mút tay mạnh, tạo tiếng rít hoặc mút hàng giờ liền.
- Có vết chai hoặc vùng da sạm ở ngón tay thường mút.
- Răng cửa trên bắt đầu trồi ra trước, khớp cắn không khít hoặc có khe hở khi ngậm miệng.
Khi xuất hiện các dấu hiệu này, cha mẹ nên can thiệp sớm để tránh hậu quả lâu dài.
Tác động của thói quen mút tay đến sự phát triển răng và hàm
Khi trẻ mút tay, trong khoang miệng sẽ tạo ra một lực hút âm, kết hợp với áp lực của ngón tay tác động lên răng, xương ổ răng và vòm khẩu cái.
Nếu hành động này được lặp lại hàng trăm lần mỗi ngày trong nhiều năm, lực này đủ để làm thay đổi hướng mọc và vị trí của răng, cũng như định hình lại cung hàm, vốn còn mềm và đang phát triển ở trẻ nhỏ.
1. Những biến dạng răng, hàm thường gặp
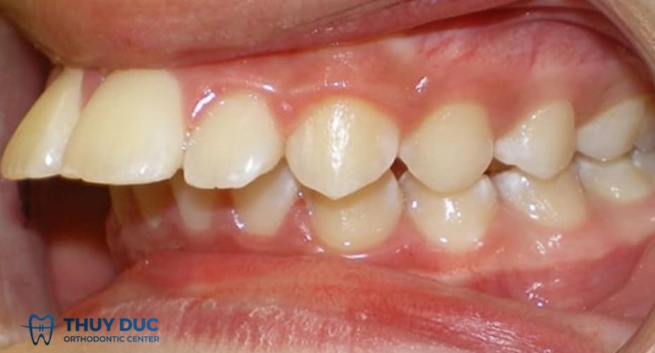
Răng cửa bị chìa ra (hô răng cửa)

Đây là hậu quả phổ biến nhất. Khi trẻ mút tay, ngón tay thường đặt giữa răng cửa hàm trên và hàm dưới, tạo áp lực kéo răng trên ra trước và đẩy răng dưới ra sau.
Lâu dần, trẻ sẽ bị hô răng cửa, gây khớp cắn hở, tức là khi ngậm miệng, răng cửa hai hàm không chạm nhau. Tình trạng này không chỉ ảnh hưởng đến thẩm mỹ mà còn gây khó khăn khi phát âm.
Tìm hiểu: Trẻ bị hô hàm trên- phương án điều trị tốt nhất là gì?
Hẹp cung hàm trên
Ngón tay đặt trong miệng khiến lưỡi không còn đủ chỗ để đẩy cung hàm phát triển bình thường. Điều này dẫn đến cung hàm trên bị hẹp, vòm miệng cao, làm giảm không gian cho răng mọc đều.
Trẻ có vòm miệng cao thường gặp khó khăn trong phát âm, đặc biệt với các âm “s”, “x” hoặc “ch”.
2. Tác động gián tiếp khác mà phụ huynh thường bỏ qua
Bên cạnh những biến dạng về răng và hàm, việc mút tay còn kéo theo nhiều ảnh hưởng khác đến sức khỏe và tâm lý của trẻ.
Ảnh hưởng phát âm và ngôn ngữ
Trẻ mút tay thường xuyên có xu hướng đặt lưỡi sai vị trí khi nói, khiến âm thanh phát ra không rõ hoặc bị méo. Lâu dần, trẻ có thể nói ngọng hoặc gặp khó khăn trong việc phát âm chính xác các từ có âm gió.
Nguy cơ nhiễm khuẩn răng miệng và tiêu hóa
Ngón tay là nơi chứa nhiều vi khuẩn, đặc biệt nếu trẻ chưa có thói quen rửa tay thường xuyên. Mút tay nhiều có thể dẫn đến viêm nướu, viêm lợi, loét niêm mạc miệng hoặc nhiễm khuẩn tiêu hóa, giun sán.
Ở những trẻ mọc răng sớm, việc ngón tay thường xuyên cọ sát cũng có thể làm viêm vùng quanh răng sữa.
Ảnh hưởng tâm lý, hành vi
Một số trẻ mút tay như một cơ chế tự an ủi khi lo lắng, cô đơn hoặc buồn chán. Nếu cha mẹ chỉ dừng lại ở việc trách mắng hay ngăn cản mà không giải quyết gốc rễ cảm xúc, trẻ có thể trở nên căng thẳng hơn và mút tay nhiều hơn.
Về lâu dài, hành vi này có thể ảnh hưởng đến khả năng tự điều tiết cảm xúc của trẻ khi trưởng thành.
Cha mẹ nên làm gì khi trẻ có thói quen mút tay?
Điều quan trọng là không nên phản ứng thái quá hoặc ép trẻ dừng ngay lập tức, đặc biệt ở giai đoạn đầu. Cách xử lý cần tùy theo độ tuổi và mức độ ảnh hưởng.
Giai đoạn trẻ còn nhỏ (dưới 2 tuổi)
Với trẻ sơ sinh và dưới 2 tuổi, việc mút tay phần lớn là phản xạ tự nhiên. Cha mẹ không cần can thiệp mạnh, chỉ nên theo dõi tần suất và thời gian mút tay.
Nếu trẻ mút tay khi buồn ngủ hoặc mệt, có thể thay thế bằng núm vú giả trong thời gian ngắn. Tuy nhiên, không nên lạm dụng để tránh hình thành thói quen mới khó bỏ.

Khi trẻ đã qua 3–4 tuổi
Ở độ tuổi này, trẻ đã bắt đầu nhận thức được hành vi của mình. Cha mẹ nên giải thích nhẹ nhàng cho trẻ hiểu rằng mút tay có thể làm răng mọc lệch hoặc xấu đi. Việc dùng hình ảnh minh họa, gương soi hoặc câu chuyện vui thường có tác dụng tốt hơn so với mắng mỏ.
Ngoài ra, nên tăng tương tác và chơi cùng trẻ nhiều hơn, vì nhiều trẻ mút tay do cảm thấy cô đơn hoặc thiếu gắn kết. Khi trẻ ngừng mút tay trong một thời gian nhất định, cha mẹ có thể khen ngợi hoặc thưởng nhỏ để củng cố hành vi tích cực.
Trường hợp thói quen kéo dài hoặc đã gây biến dạng
Nếu trẻ đã lớn hơn 5 tuổi, vẫn mút tay hoặc có dấu hiệu răng lệch, khớp cắn hở, cần đưa trẻ đến bác sĩ Răng Hàm Mặt hoặc bác sĩ Chỉnh nha Nhi.
Một số biện pháp hỗ trợ có thể được chỉ định như:
- Dụng cụ chống mút tay (thumb guard, habit breaker) giúp ngăn ngón tay tiếp xúc với vòm miệng.
- Bài tập phục hồi cơ lưỡi, cơ môi để cân bằng lại hoạt động cơ miệng.
- Chỉnh nha sớm nếu đã hình thành sai khớp cắn hoặc cung hàm hẹp.
Can thiệp đúng thời điểm giúp hạn chế phải niềng răng phức tạp sau này.
Phòng tránh từ sớm, bảo vệ răng và hàm ngay từ đầu
Phòng ngừa luôn dễ hơn điều trị. Ngay từ khi trẻ còn nhỏ, cha mẹ có thể áp dụng một số cách sau để giảm nguy cơ hình thành thói quen mút tay:
- Tạo môi trường an toàn, ấm áp giúp trẻ không phải tìm đến hành động mút tay để trấn an.
- Khuyến khích trẻ ôm gấu bông, chơi đồ chơi mềm hoặc trò chuyện với người thân để thay thế hành vi này.
- Đưa trẻ đi khám răng định kỳ mỗi 6 tháng, đặc biệt từ 3 tuổi trở lên, để bác sĩ phát hiện sớm bất kỳ dấu hiệu sai lệch nào trong phát triển răng, hàm.
Mút tay là một thói quen nhỏ nhưng có thể để lại hậu quả lớn nếu kéo dài. Việc hiểu rõ nguyên nhân, nhận biết sớm dấu hiệu và can thiệp đúng cách sẽ giúp cha mẹ bảo vệ tốt sự phát triển tự nhiên của răng, hàm và khuôn mặt của trẻ.
Đừng chỉ cố ngăn cản, hãy đồng hành cùng con với sự thấu hiểu và hướng dẫn nhẹ nhàng, đó mới là chìa khóa giúp trẻ tự bỏ thói quen này một cách bền vững.
Tìm hiểu tiếp: Tình trạng nghiến răng khi ngủ ở trẻ







