• 093 186 3366 | 035 866 9399
  • Hỗ trợ
  • Tuyển dụng
  • Liên hệ
  • Đăng nhập

Nha Khoa Thúy Đức

Xây nụ cười bằng cả trái tim

  • Trang chủ
  • Về chúng tôi
    • 20 năm xây dựng và phát triển
    • Công nghệ tiên phong
    • Hành trình trải nghiệm không gian
    • Thúy đức Kids – Không gian nha khoa dành riêng cho bé
    • Chương trình thiện nguyện
    • Workshop Better
    • Tin tức – Sự kiện
    • Videos
    • Expert exchange
  • Dịch vụ
    • Invisalign First – Niềng răng cho trẻ em
    • Niềng răng Invisalign
    • Gói niềng Invisalign tiết kiệm Essentials
    • Nong Hàm Invisalign IPE
    • Niềng răng mắc cài
    • Răng trẻ em – Thúy Đức Kids
    • Cấy ghép implant
    • Bọc răng sứ
    • Nhổ răng khôn
    • Điều trị nha chu
    • Hàm tháo lắp
    • Tẩy trắng răng
  • Đội ngũ bác sĩ
  • Khách hàng
  • Chuyên gia tư vấn
  • Kiến thức
    • Niềng răng
    • Trồng răng
    • Bọc răng sứ
    • Nhổ răng
    • Tẩy trắng răng
    • Chăm sóc răng trẻ em
    • Nha khoa tổng quát
  • Đặt lịch hẹn
Trang chủ » Kết quả niềng răng

Kết quả niềng răng

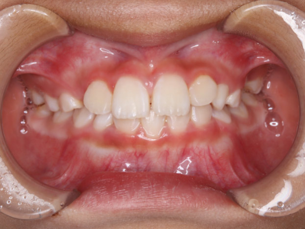
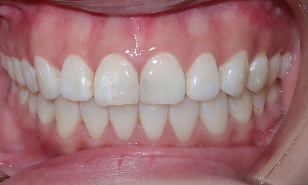
Ca niềng khớp cắn sâu nặng

Bệnh nhân: Nguyễn Văn A

Phương án điều trị Invisalign: Invisalign First

Năm: 2024

Độ khó: Trung bình

Tuổi: 9

Thời gian điều trị: 9 tháng 17 ngày

Giới tính: Nam

Đăng ký dịch vụ tư vấn miễn phí

Vui lòng để lại thông tin của bạn tại đây, để chúng tôi có thể giúp bạn

Nha khoa Thúy Đức cam kết luôn tận tâm và nỗ lực tối ưu hóa quá trình chỉnh nha để mang đến khách hàng sự an tâm tuyệt khi trải nghiệm dịch vụ chỉnh nha thẩm mỹ và hoàn thiện nụ cười.

  • CS1: Số 64 Phố Vọng, phường Bạch Mai, Hà Nội

– Giấy phép hoạt động số 669/SYT – GPHĐ do Sở Y tế Hà Nội cấp ngày 7/2/2013
– Giấy phép kinh doanh số 01E8007563 DO Phòng kinh tế UBND quận Đống Đa cấp

  • CS2: tầng 3, 4 toà GP Building 257 Giải Phóng, phường Bạch Mai, Hà Nội

– Giấy phép hoạt động số 3589/HNO – GPHĐ do Sở Y tế Hà Nội cấp ngày 05/01/2024
– Mã số đăng ký HKD số 01E8038514 do Phòng Tài chính – Kế hoạch UBND quận Đống Đa cấp ngày 20/12/2023

  • 093 186 3366– 035 866 9399
  • 08:30 – 18:30 các ngày trong tuần
  • Từ thứ 2 – Chủ nhật
Nha khoa Thúy Đức
  • Về chúng tôi
  • Đội ngũ bác sĩ
  • Cơ sở vật chất
  • Khách hàng
  • Kiến thức nha khoa
  • Tin tức
Dịch vụ
  • Niềng răng Invisalign
  • Niềng răng mắc cài
  • Nhổ răng
  • Bọc răng sứ
  • Điều trị nha chu
  • Hàm tháo lắp
  • Tẩy trắng răng
Mạng xã hội


Đối tác y khoa
Bác sĩ Phạm Hồng Đức là Thành viên các hiệp hội

Website thuộc quyền của nha khoa Thúy Đức. DMCA.com Protection Status

  • Chính sách và điều khoản
  • Chính sách bảo mật thông tin cá nhân
  • Đặt lịch
  • Messenger
  • Zalo