Nhiều người khi đi tư vấn niềng răng, đến lúc nghe bác sĩ nói “trường hợp của bạn cần nâng khớp cắn” thì thường khá hoang mang vì không hiểu đó là gì. Không ít người lo lắng nâng khớp cắn có đau không, có ảnh hưởng ăn nhai hay làm thay đổi khuôn mặt không. Thực tế, đây là một kỹ thuật rất phổ biến trong chỉnh nha và giữ vai trò quan trọng trong nhiều ca niềng răng. Hiểu đúng về nâng khớp cắn sẽ giúp bạn yên tâm hơn và hợp tác điều trị tốt hơn.
Mục lục
1. Nâng khớp cắn trong niềng răng là gì?

Trong chỉnh nha, nâng khớp cắn là một kỹ thuật có chủ đích nhằm làm tăng tạm thời khoảng cách tiếp xúc giữa hai hàm răng, thông qua việc tạo ra các điểm chặn khớp cắn nhân tạo. Những điểm này có thể được tạo bằng vật liệu composite, khí cụ chỉnh nha hoặc các hệ thống hỗ trợ khác.
Mục tiêu của việc nâng khớp cắn không phải để “mở khớp” một cách tùy tiện, mà để điều chỉnh môi trường cơ học và sinh học trong khoang miệng, từ đó tạo điều kiện thuận lợi cho răng và xương ổ răng đáp ứng tốt hơn với lực chỉnh nha.
Về bản chất, nâng khớp cắn tác động đồng thời lên hai yếu tố chính:
Thứ nhất, yếu tố sinh học
Khi hai hàm răng được tách nhẹ khỏi vị trí tiếp xúc quen thuộc, áp lực bất thường lên răng, dây chằng nha chu và khớp thái dương – hàm sẽ giảm. Điều này giúp:
- Hạn chế chấn thương khớp cắn.
- Giảm nguy cơ tiêu chân răng do lực cản bất lợi.
- Tạo điều kiện cho tái cấu trúc xương ổ răng khi răng di chuyển.
Thứ hai, yếu tố cơ học chỉnh nha
Nâng khớp cắn giúp:
- Loại bỏ sự cản trở giữa răng trên và răng dưới.
- Tạo khoảng trống để gắn mắc cài và dây cung đúng vị trí.
- Cho phép răng di chuyển theo đúng vector lực đã thiết kế trong kế hoạch điều trị.
2. Mục tiêu của nâng khớp cắn
Nâng khớp cắn không phải là thao tác phụ trợ đơn thuần, mà là một chiến lược điều trị được xây dựng trong kế hoạch chỉnh nha tổng thể.
Những mục tiêu chính bao gồm:
Tạo khoảng an toàn cho răng di chuyển
Trong nhiều dạng sai khớp cắn, đặc biệt là khớp cắn sâu hoặc khớp cắn ngược, răng trên và răng dưới khóa chặt vào nhau. Nếu không nâng khớp cắn, răng gần như không thể di chuyển theo hướng mong muốn, hoặc sẽ di chuyển kèm nguy cơ sang chấn.
Ngăn răng hai hàm cản trở lẫn nhau
Sự cản trở cơ học giữa các răng là nguyên nhân thường gặp gây bật mắc cài, cong vênh dây cung hoặc làm lệch hướng lực chỉnh nha. Nâng khớp cắn giúp loại bỏ điểm chạm bất lợi, cho phép bác sĩ kiểm soát tốt hơn chuyển động răng.
Bảo vệ răng và khí cụ chỉnh nha
Khi răng cửa hàm dưới chạm trực tiếp vào mắc cài răng trên, nguy cơ bong mắc cài và mẻ men răng tăng cao. Điểm nâng khớp cắn sẽ phân bố lại lực nhai lên vùng được kiểm soát, hạn chế các biến chứng này.
Định hướng lại tương quan hai hàm
Ở những ca lệch hàm, cắn ngược hoặc rối loạn khớp cắn phức tạp, nâng khớp cắn giúp đưa hàm dưới hoặc hàm trên ra khỏi vị trí “khóa sai”, tạo tiền đề cho chỉnh hình tương quan xương hàm và khớp cắn.
Hỗ trợ điều trị các ca chỉnh nha phức tạp
Nâng khớp cắn thường là điều kiện bắt buộc trong các phác đồ điều trị có sử dụng mini screw, kéo răng ngầm, nong hàm hoặc kết hợp chỉnh nha – phục hình.
3. Khi nào cần nâng khớp cắn?
3.1. Các trường hợp thường bắt buộc nâng khớp cắn
Khớp cắn sâu nặng
Là tình trạng răng cửa hàm trên trùm quá mức răng cửa hàm dưới theo chiều dọc. Trong nhiều ca, răng dưới cắn trực tiếp vào nướu hoặc mặt trong răng trên.
Nếu không nâng khớp cắn:
- Không thể gắn mắc cài răng dưới an toàn.
- Răng cửa bị khóa, không trồi hoặc lún theo kế hoạch.
- Nguy cơ sang chấn khớp cắn và tiêu chân răng tăng cao.
Khớp cắn ngược răng trước
Răng cửa hàm dưới nằm ngoài răng cửa hàm trên. Việc chỉnh răng từ vị trí cắn ngược sang cắn thuận gần như không thể thực hiện nếu hai hàm không được tách ra trước.
Nâng khớp cắn giúp:
- Giải phóng răng khỏi sự khóa khớp.
- Cho phép răng cửa di chuyển vượt qua nhau an toàn.
Khớp cắn chéo phức tạp
Đặc biệt là cắn chéo kèm lệch hàm hoặc cắn chéo nhiều răng. Nâng khớp cắn giúp loại bỏ tiếp xúc lệch, hỗ trợ nong hàm, chỉnh trục răng và tái lập tương quan hàm.
Răng chen chúc nặng, cản trở gắn mắc cài
Trong một số trường hợp, răng mọc lệch nhiều khiến việc gắn mắc cài chuẩn xác gần như không thể. Nâng khớp cắn tạo không gian để thao tác kỹ thuật và định hướng lại răng.
Nguy cơ vỡ mắc cài cao
Các ca có lực cắn mạnh, răng cửa hàm dưới thường xuyên chạm vào mắc cài hàm trên là chỉ định điển hình của nâng khớp cắn phòng ngừa.
3.2. Các trường hợp nâng khớp cắn để hỗ trợ điều trị
Không phải lúc nào nâng khớp cắn cũng là bắt buộc, nhưng trong nhiều ca, đây là yếu tố giúp tăng hiệu quả và độ an toàn của điều trị.
Một số tình huống thường được chỉ định gồm:
Điều trị lệch hàm
Nâng khớp cắn giúp giảm sự khóa khớp bất đối xứng, tạo điều kiện cho hàm dưới trở về vị trí sinh lý hơn trong quá trình chỉnh nha.
Chuẩn bị cho kéo răng ngầm
Khi kéo răng ngầm, đặc biệt là răng cửa hoặc răng nanh, cần không gian để răng trồi xuống mà không va chạm răng đối diện.
Điều trị kết hợp chỉnh nha – phục hình
Trong các ca mất răng, mòn răng, giảm chiều cao tầng mặt dưới, nâng khớp cắn chỉnh nha có thể được dùng như bước trung gian trước phục hình.
Bệnh nhân có rối loạn khớp thái dương – hàm nhẹ
Một số phác đồ nâng khớp cắn được thiết kế nhằm giảm tải tạm thời cho khớp, hỗ trợ điều chỉnh vị trí hàm và giảm triệu chứng.
3.3. Hệ quả nếu không nâng khớp cắn khi có chỉ định
Việc bỏ qua nâng khớp cắn trong các trường hợp cần thiết có thể dẫn đến nhiều hệ lụy:
- Răng di chuyển sai hướng, khó kiểm soát, dễ tái phát.
- Gãy mắc cài, bong khí cụ lặp đi lặp lại.
- Đau khớp hàm, mỏi cơ nhai, đau đầu do sang chấn khớp cắn.
- Kéo dài thời gian điều trị, phải thay đổi kế hoạch.
- Tăng nguy cơ tiêu chân răng, tụt nướu và mất ổn định sau niềng.
4. Các phương pháp nâng khớp cắn phổ biến hiện nay
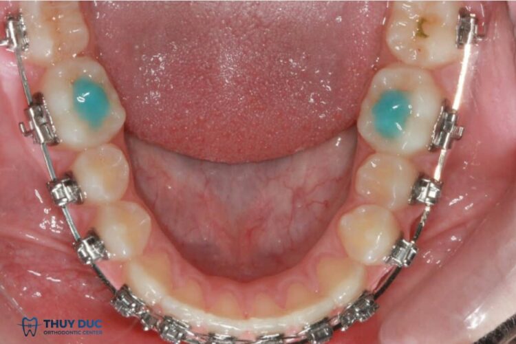
4.1. Nâng khớp cắn bằng composite

Đây là phương pháp phổ biến nhất trong thực hành chỉnh nha hiện đại.
Bác sĩ sử dụng composite nha khoa tạo các điểm chặn khớp cắn trên một hoặc một số răng, thường là:
- Mặt nhai răng hàm.
- Mặt trong răng cửa trên.
- Hoặc mặt nhai răng cối nhỏ, tùy mục tiêu điều trị.
Cơ chế hoạt động
Composite đóng vai trò như “trụ đỡ” tạm thời, giữ cho hai hàm không chạm nhau tại các vị trí cũ, từ đó phân bố lại lực cắn.
Ưu điểm
- Thực hiện nhanh, không xâm lấn mô răng.
- Có thể điều chỉnh linh hoạt về hình dạng và chiều cao.
- Dễ tháo bỏ khi không còn chỉ định.
- Chi phí thấp, phù hợp đa số bệnh nhân.
Hạn chế
- Có thể mòn hoặc bong trong quá trình ăn nhai.
- Cần tái tạo hoặc chỉnh sửa định kỳ.
- Hiệu quả phụ thuộc nhiều vào tay nghề bác sĩ.
4.2. Nâng khớp cắn bằng khí cụ chỉnh nha

Khí cụ nâng khớp cắn thường gặp nhất là bite plate hoặc các dạng máng chỉnh nha thiết kế riêng.
Có thể chia thành:
- Khí cụ tháo lắp.
- Khí cụ cố định.
Vai trò
- Tạo mặt phẳng cắn nhân tạo ổn định.
- Kiểm soát chính xác chiều cao nâng khớp.
- Kết hợp đồng thời với các mục tiêu khác như nong hàm, chỉnh trục răng.
Khi nào nên dùng khí cụ thay vì composite
- Cần nâng khớp cắn nhiều và ổn định.
- Điều trị ở trẻ em đang tăng trưởng.
- Ca có rối loạn khớp thái dương – hàm cần kiểm soát khớp cắn tinh vi.
4.3. Mini screw và hệ thống nâng khớp cắn nâng cao
Trong chỉnh nha hiện đại, mini screw không trực tiếp “nâng khớp cắn”, nhưng đóng vai trò quan trọng trong:
- Kiểm soát chiều đứng của răng.
- Lún răng hàm hoặc răng cửa.
- Tái cấu trúc mặt phẳng cắn.
Ở các ca khớp cắn sâu hoặc sai khớp cắn phức tạp, mini screw giúp tạo ra nâng khớp cắn sinh học, thông qua thay đổi vị trí răng và xương ổ răng, chứ không chỉ là nâng cơ học tạm thời.
So với nâng khớp cắn truyền thống, phương pháp này:
- Đòi hỏi chuyên môn cao.
- Cho kết quả bền vững hơn.
- Thường kết hợp với composite hoặc khí cụ.
4.4. So sánh các phương pháp nâng khớp cắn
- Xét về hiệu quả, composite phù hợp nâng khớp cắn đơn giản, ngắn hạn. Khí cụ và mini screw phù hợp ca trung bình đến phức tạp.
- Về mức độ xâm lấn, composite và khí cụ gần như không xâm lấn. Mini screw xâm lấn tối thiểu nhưng cần vô trùng và theo dõi sát.
- Về cảm giác bệnh nhân, composite thường dễ thích nghi nhất. Khí cụ có thể gây vướng nhiều hơn. Mini screw thường ít ảnh hưởng cảm giác cắn nhưng gây lo lắng tâm lý.
- Về thời gian sử dụng, composite ngắn đến trung hạn. Khí cụ và mini screw thường duy trì lâu hơn, gắn với từng giai đoạn điều trị.
- Về đối tượng phù hợp, lựa chọn phụ thuộc vào độ tuổi, loại sai khớp cắn, mục tiêu điều trị và kinh nghiệm bác sĩ.
5. Nâng khớp cắn có ảnh hưởng gì đến người niềng răng?
5.1. Cảm giác và thích nghi ban đầu
Trong những ngày đầu sau khi nâng khớp cắn, hầu hết bệnh nhân đều có cảm giác vướng víu khi ngậm miệng, do hai hàm không còn tiếp xúc theo thói quen cũ.
Việc ăn nhai có thể trở nên khó khăn hơn, đặc biệt khi cắn xé thức ăn. Một số người nhận thấy phát âm thay đổi nhẹ, nhất là với các âm gió, do lưỡi và môi phải thích nghi với mặt phẳng cắn mới.
Ngoài ra, cảm giác mỏi cơ hàm hoặc căng nhẹ vùng trước tai có thể xuất hiện trong giai đoạn đầu, liên quan đến sự điều chỉnh của hệ cơ nhai. Các biểu hiện này thường giảm dần sau 5–10 ngày khi cơ thể thích nghi.
5.2. Ảnh hưởng đến ăn uống và sinh hoạt
Trong giai đoạn đầu, nên ưu tiên thức ăn mềm, dễ nhai, tránh đồ quá cứng, dai hoặc dính để hạn chế bong điểm nâng. Khi ăn, nên chia nhỏ thức ăn, nhai chậm, phân bố đều hai bên hàm, tránh tập trung lực mạnh vào một điểm.
Vệ sinh răng miệng cần được chú trọng hơn do thức ăn dễ mắc quanh vị trí nâng khớp cắn. Bệnh nhân nên sử dụng bàn chải kẽ, máy tăm nước và súc miệng sau ăn để phòng viêm nướu và sâu răng.
5.3. Nâng khớp cắn có đau không? Có nguy hiểm không?
Nâng khớp cắn không phải thủ thuật gây đau, cảm giác chủ yếu là khó chịu và mỏi nhẹ do thay đổi khớp cắn. Đau âm ỉ nhẹ khi nhai trong vài ngày đầu được xem là phản ứng sinh lý bình thường.
Tuy nhiên, nếu xuất hiện đau khớp hàm tăng dần, há miệng khó, đau đầu kéo dài, bong điểm nâng liên tục hoặc cắn lệch rõ rệt, bệnh nhân cần tái khám sớm để bác sĩ kiểm tra và điều chỉnh kịp thời.







