Khí cụ chỉnh nha là dụng cụ nha khoa hỗ trợ quá trình nắn chỉnh răng, khắc phục tình trạng răng bị hô, vẩu, móm, khấp khểnh,… và đưa chúng về đúng vị trí trên cung hàm giúp bạn sở hữu hàm trăng thẳng, đều, sát khít với nhau.
Hiện nay, khí cụ chỉnh nha có nhiều loại và đảm nhận chức năng khác nhau.
Mục lục

Các loại khí cụ cho niềng răng mắc cài
Hiện nay số lượng người niềng răng mắc cài vẫn chiếm tỷ lệ đa số bởi đây là phương pháp chỉnh nha lâu đời, mang đến hiệu quả tốt cùng mức chi phí đa dạng, phù hợp. Các loại khí cụ cho niềng răng mắc cài bao gồm:
1/ Hệ thống mắc cài

Khí cụ chỉnh nha mắc cài là nhóm khí cụ phổ biến nhất trong điều trị chỉnh nha cố định. Hệ thống này bao gồm mắc cài (bracket) được gắn lên bề mặt răng và dây cung (archwire) nối giữa các mắc cài để tạo lực dịch chuyển răng dần dần về vị trí mong muốn.
Mắc cài có thể làm từ kim loại, sứ hoặc pha lê, giúp đáp ứng cả nhu cầu hiệu quả và thẩm mỹ.
Dựa vào cơ chế cố định dây cung, có hai loại chính: mắc cài buộc chun và mắc cài tự đóng. Loại tự đóng giúp giảm ma sát, rút ngắn thời gian điều trị và dễ vệ sinh hơn. Đây là lựa chọn phù hợp cho hầu hết các trường hợp sai lệch răng, từ nhẹ đến phức tạp, giúp đạt hiệu quả cao và kiểm soát chính xác quá trình di chuyển răng.
Xem thêm: Mắc cài pha lê và mắc cài sứ khác nhau như thế nào?
2/ Dây cung

Dây cung chỉnh nha là khí cụ giữ vai trò then chốt trong hệ thống niềng răng mắc cài, chịu trách nhiệm tạo lực và định hướng di chuyển răng theo kế hoạch điều trị. Sau khi mắc cài được gắn cố định trên răng, bác sĩ sẽ luồn dây cung qua khe mắc cài. Với mắc cài truyền thống, dây cung được cố định bằng dây thun hoặc dây thép; còn ở mắc cài tự buộc, dây cung có thể trượt tự động trong rãnh mắc cài, giúp giảm ma sát và rút ngắn thời gian điều trị.
Về chất liệu, dây cung thường được làm từ các hợp kim kim loại có độ đàn hồi và bền cao như:
- Thép không gỉ (Stainless Steel): Độ cứng cao, bền, dễ kiểm soát, chi phí thấp.
- Niken–Titan (NiTi): Siêu đàn hồi, nhớ hình tốt, phù hợp giai đoạn đầu khi cần lực nhẹ và ổn định.
- Titan–Beta (TMA): Dẻo và linh hoạt hơn, cho phép điều chỉnh chính xác ở giai đoạn tinh chỉnh.
- Cobalt–Chromium: Có lực kéo mạnh nhưng ít dùng hiện nay do độ cứng thấp.
Nhờ sự kết hợp linh hoạt giữa các loại dây cung, bác sĩ có thể tối ưu lực kéo, kiểm soát hướng dịch chuyển răng và đạt hiệu quả chỉnh nha cao nhất.
3/ Band (Khâu)

Band niềng răng (khâu niềng răng) là khí cụ kim loại hình vòng tròn được gắn quanh răng cối, thường là răng hàm lớn, nhằm tạo điểm neo vững chắc cho hệ thống niềng răng. Trên band có các khớp hoặc ống nhỏ (tube) để gắn dây cung, lò xo hoặc khí cụ khác như RPE, TPA, Nance… Trong một số trường hợp, band giúp phân bổ lực đều hơn và tránh bong mắc cài khi răng hàm có men yếu hoặc bề mặt không lý tưởng để dán mắc cài.
Quá trình gắn band thường được thực hiện ở giai đoạn đầu niềng, sau khi bác sĩ đã thử và chọn kích cỡ phù hợp. Mặc dù ngày nay một số ca có thể dùng ống dán trực tiếp thay thế, nhưng band vẫn rất quan trọng trong những ca cần lực mạnh, có khí cụ phụ trợ, hoặc cần độ ổn định tối đa ở vùng răng cối.
Đọc thêm: Bị đau khi gắn band phải làm sao?
4/ Thun tách kẽ

Thun tách kẽ hay chun tách kẽ cũng là khí cụ cần thiết trong một số trường hợp bác sĩ muốn nong rộng hai răng, tạo ra khoảng cách vừa đủ để đặt khâu hoặc mắc cài band vào răng. Chúng có dạng vòng tròn cao su nhỏ, hơi cứng.
5/ Thun liên hàm

Thun liên hàm có kết cấu từ cao su với tính dẻo, thường được gắn từ hàm trên xuống hàm dưới nhằm mục đích tạo lực kéo vừa phải cho răng. Các trường hợp cần sử dụng thun liên hàm là: kéo răng bị khấp khểnh, kéo răng mọc chếch hẳn trên xương hàm, răng cắn đối đầu,…
Các loại thun liên hàm gồm:
- Thun liên hàm loại I: Được dùng ở các khe hở của răng. Khi đó, thun được đặt giữa các kẽ răng, móc từ răng cối thứ 1 hoặc thứ 2 ở hàm trên hoặc răng nanh hàm trên.
- Thun liên hàm loại II: Được sử dụng từ răng hàm dưới thứ nhất cho đến răng nanh hàm trên hoặc củng cố neo trong trường hợp nhổ răng. Hoặc chúng có thể di chuyển răng cửa hàm trên về phía sau, điều chỉnh mức độ lệch đường giữa khi kéo răng về 2 bên khác nhau.
- Thun liên hàm loại III: Được sử dụng nhằm chỉnh sửa khe hở dưới bằng cách rút lại răng dưới và nâng răng phía trên lên.
6/ Móc, thanh lực (Hooks, Power Arms)

Móc và thanh lực là những bộ phận nhỏ bằng kim loại được gắn vào mắc cài hoặc dây cung, giữ vai trò tạo điểm neo và điểm kéo lực trong chỉnh nha. Chúng thường được sử dụng để móc thun liên hàm (interarch elastics) – loại dây thun nối giữa hai hàm, giúp điều chỉnh khớp cắn và cân bằng tương quan giữa hàm trên và hàm dưới.
Thanh lực (power arm) thường dài hơn, giúp bác sĩ điều chỉnh hướng và điểm đặt lực chính xác hơn, đặc biệt trong những ca cần kiểm soát trục răng hoặc di chuyển toàn khối răng. Việc sử dụng móc và thanh lực giúp phân bố lực đều, hỗ trợ các giai đoạn chỉnh khớp cắn và tinh chỉnh vị trí răng hiệu quả hơn.
7/ Minivis

Mini vít chỉnh nha (TADs – Temporary Anchorage Devices) là một khí cụ hiện đại đóng vai trò tạo điểm neo cố định trực tiếp vào xương, giúp bác sĩ kiểm soát hướng và mức độ di chuyển của răng một cách chính xác. Mini vít có kích thước rất nhỏ, thường làm bằng titanium y sinh, được cắm tạm thời vào xương hàm trên, hàm dưới hoặc vùng vòm miệng mà không gây đau nhiều hay ảnh hưởng đến cấu trúc xương.
So với các phương pháp neo truyền thống như headgear hay neo bằng răng khác, mini vít giúp rút ngắn thời gian điều trị, giảm phụ thuộc vào sự hợp tác của người niềng và mang lại kết quả dự đoán được hơn. Đây là khí cụ rất hữu ích trong những ca phức tạp, chẳng hạn khi cần kéo lùi toàn bộ răng trước, di chuyển răng hàm, hoặc điều chỉnh khớp cắn không đối xứng.
8/ Lò xo

Lò xo chỉnh nha (coil spring) là một khí cụ nhỏ nhưng có vai trò quan trọng trong hệ thống niềng răng mắc cài. Chúng được đặt trên dây cung, giữa hai mắc cài để tạo ra lực đẩy hoặc kéo giúp điều chỉnh khoảng cách giữa các răng. Có hai loại chính:
Lò xo mở (open coil spring): được sử dụng khi cần tạo khoảng trống giữa các răng, chẳng hạn để chuẩn bị chỗ cho răng mọc chen chúc hoặc răng bị lệch ra ngoài cung hàm.
Lò xo đóng (closed coil spring): có chức năng kéo các răng lại gần nhau, thường dùng trong giai đoạn đóng khoảng sau khi nhổ răng.
Vật liệu chế tạo lò xo thường là hợp kim niken–titan (NiTi) hoặc thép không gỉ, giúp đảm bảo độ đàn hồi và duy trì lực liên tục trong suốt quá trình chỉnh nha. Việc sử dụng lò xo coil giúp tăng độ chính xác, kiểm soát tốt khoảng cách và rút ngắn thời gian điều trị.
9/ Thun chuỗi

Thun chuỗi hay chun chuỗi có tên tiếng Anh: Power/ Energy/ Memory Chain là một dải cao su nhiều vòng hình chữ O được gắn kết với nhau. Mục đích của khí cụ nhằm đóng các khoảng trống không cho khoảng trống rộng thêm giữa hai hay nhiều răng. Trường hợp răng thưa, bác sĩ sử dụng thun chuỗi kết hợp khí cụ khác nhằm nắn chỉnh hàm răng từ từ đến khi răng đều và khít hoàn toàn với nhau.
Vật liệu của thun chuỗi là cao su nguyên chất nên không gây hại cho sức khỏe, có độ đàn hồi cao, độ bền tốt. Đặc biệt, thun chuỗi có tới 28 màu sắc khác nhau để bạn lựa chọn theo sở thích.
Bên cạnh đó tùy theo tiêu chí, chúng được chia thành các loại như:
– Theo kích thước: có thun chuỗi ngắn- thun chuỗi dài- thun chuỗi liên tục (short- long- continuous)
- Thun chuỗi ngắn: Sợi thun dài hơn với 3- 4 vòng giúp liên kết giữa 3- 4 chiếc răng với nhau.
- Thun chuỗi dài: Có nhiều vòng thun giúp liên kết nhiều răng với nhau, thậm chí là móc nối với cả hàm.
- Thun chuỗi liên tục (thun đóng): Chỉ sử dụng 1 thun duy nhất, không có khoảng trống giữa các vòng trong thun chuỗi.
– Theo kích lực: Có thun chuỗi nhẹ- thun chuỗi trung bình- thun chuỗi nặng.
– Theo từng loại niềng răng: Có thun chuỗi mỏng cho niềng răng mắc cài mặt lưỡi, thun chuỗi sợi dày…
10/ Khí cụ chức năng cố định kèm mắc cài
Đây là nhóm khí cụ được gắn cố định trong miệng (Fixed Functional Appliances – ví dụ: Forsus, Herbst), nối giữa hai hàm thông qua hệ thống mắc cài. Chúng được thiết kế để điều chỉnh sai khớp cắn loại II – tình trạng hàm trên đưa ra trước hoặc hàm dưới lùi sau.
Khí cụ Forsus hay Herbst giúp đưa hàm dưới ra trước, cải thiện khớp cắn và thẩm mỹ khuôn mặt mà không cần phẫu thuật, đặc biệt hiệu quả ở người niềng răng đang tuổi phát triển xương hàm. Vì cố định nên người niềng răng không cần tự tháo lắp, giúp duy trì lực liên tục, rút ngắn thời gian điều trị và giảm phụ thuộc vào sự hợp tác của người niềng.
11/ Headgear
Headgear là khí cụ ngoài miệng gồm một khung kim loại (facebow) nối với vòng neo ở răng hàm và được đeo quanh đầu hoặc cổ. Thiết bị này tạo ra lực kéo từ bên ngoài (extraoral force) để kiểm soát hoặc làm chậm sự di chuyển của răng hàm trên. Headgear thường được sử dụng trong các ca sai khớp cắn loại II, giúp giữ răng hàm trên cố định trong khi răng khác được kéo dịch chuyển. Mặc dù hiện nay ít phổ biến hơn do sự phát triển của minivis (TADs), headgear vẫn được đánh giá cao trong chỉnh nha tăng trưởng ở trẻ em vì có khả năng tác động lên sự phát triển của xương hàm một cách có kiểm soát và an toàn.
12/ Hàm duy trì

Hàm duy trì (Retainer) là khí cụ rất quan trọng được sử dụng sau khi kết thúc quá trình niềng răng, nhằm giữ cho răng ổn định ở vị trí mới và ngăn ngừa tình trạng răng xô lệch trở lại (tái phát). Sau khi tháo niềng, các dây chằng quanh răng và mô nướu vẫn chưa thích nghi hoàn toàn, nên nếu không đeo hàm duy trì đúng cách, răng rất dễ di chuyển về vị trí cũ.
Hiện nay có hai nhóm hàm duy trì chính:
- Hàm duy trì cố định (Fixed retainer): là một đoạn dây kim loại mảnh được dán cố định ở mặt trong răng cửa, giúp giữ răng ổn định liên tục, không phụ thuộc vào việc đeo – tháo của người dùng.
- Hàm duy trì tháo lắp (Removable retainer): như hàm Hawley (bằng nhựa và dây kim loại) hoặc hàm trong suốt (Essix retainer), dễ tháo lắp và thuận tiện khi vệ sinh.
Thời gian đeo hàm duy trì tùy theo từng trường hợp, thường ít nhất 12–24 tháng đầu sau niềng, và có thể duy trì ban đêm lâu dài để đảm bảo kết quả ổn định, duy trì nụ cười đều đẹp sau chỉnh nha.
Các loại khí cụ cho niềng răng trong suốt
Niềng răng trong suốt là công nghệ hiện đại bậc nhất khi bạn không cần sử dụng các loại khí cụ như mắc cài, dây cung mà vẫn sở hữu hàm răng chuẩn đẹp như ý. “Bí quyết” nằm ở bộ khay niềng chuyên biệt được thiết kế theo dấu hàm của từng khách hàng. Bạn có thể ăn uống hoặc vệ sinh răng miệng thoải mái khi dễ dàng tháo khay niềng mọi lúc, mọi nơi.
Khí cụ niềng răng trong suốt gồm 2 bộ phận chính:
13/ Khay niềng trong suốt

Khay niềng trong suốt được làm từ chất liệu nhựa dẻo chuyên dụng đã qua sự kiểm định nghiêm ngặt của các chuyên gia hàng đầu. Nhờ đó, bạn không sợ bị kích ứng hay khó chịu trong khoang miệng. Từng chiếc răng được khay niềng ôm sát khít và dịch chuyển với tốc độ vừa đủ đúng theo phác đồ điều trị. Trong suốt quá trình chỉnh nha, mỗi người có 20- 48 khay niềng theo từng giai đoạn khác nhau. Trung bình khoảng 2 tháng, bạn sẽ đổi khay niềng một lần.
Cũng bởi sự linh hoạt, mềm dẻo của khí cụ trên, bạn không cần sợ bị bung tuột mắc cài hay tổn thương vùng má, nướu.
14/ Attachment

Attachment là các mấu nhỏ dạng hình vuông, hình chữ nhật hoặc vát chéo, làm từ chất liệu composite có màu giống với màu răng tự nhiên. Nó được gắn trực tiếp lên bề mặt của răng và đảm nhận các vai trò khác nhau:
- Cố định khay niềng: Nhờ các điểm attachment, khay niềng có thể nằm cố định mà không lo bị trơn tuột khỏi hàm.
- Tạo lực cho khay niềng: Attachment là điểm tạo lực giúp các răng di chuyển về đúng vị trí theo phác đồ trị liệu của bác sĩ.
- Làm điểm neo để bác sĩ đặt một số khí cụ khác lên trong một vài trường hợp đặc biệt.
15/ Composite buttons / bonded anchors (nút dán tạm)

Composite buttons / bonded anchors (nút dán tạm) là những điểm tựa nhỏ bằng vật liệu composite, được dán trực tiếp lên bề mặt răng để tạo điểm neo cho dây thun (elastics) hoặc móc kéo (hooks) trong quá trình niềng răng trong suốt. Chúng thường được sử dụng khi cần tăng lực kéo hoặc điều chỉnh khớp cắn phức tạp, nơi mà aligner đơn thuần không đủ lực kiểm soát.
Khác với attachments, vốn là hình khối composite nhỏ được tạo hình theo khuôn và gắn cố định trên răng để giúp aligner bám khít, kiểm soát hướng di chuyển của từng răng, thì composite buttons chỉ đóng vai trò như móc tạm thời để nối với dây thun hoặc các khí cụ phụ trợ khác.
Nhờ có các nút dán tạm này, bác sĩ có thể tăng cường điểm neo (anchorage), cải thiện hiệu quả di chuyển răng mà không cần dùng đến mắc cài kim loại, vẫn đảm bảo tính thẩm mỹ và tiện lợi trong suốt quá trình điều trị bằng aligner.
16/ Precision cuts / Buttons

Precision cuts / Buttons là những chi tiết hỗ trợ đặc biệt được thiết kế trên khay niềng trong suốt (aligner) nhằm tăng hiệu quả điều trị trong các trường hợp cần tác động lực liên hàm.
Precision cuts là các khe nhỏ hoặc rãnh cắt sẵn trên khay aligner, còn buttons (cúc) là miếng nhựa hoặc kim loại nhỏ được gắn trên bề mặt răng hoặc trên khay niềng. Cả hai đều có mục đích tạo điểm móc để gắn thun liên hàm (elastics).
Khi kết hợp với dây thun, hệ thống này giúp điều chỉnh tương quan hai hàm, đóng khoảng, hoặc kiểm soát hướng di chuyển của răng, đặc biệt trong các trường hợp sai khớp cắn nhẹ đến trung bình.
Nhờ sự hỗ trợ của precision cuts và buttons, khay niềng răng có thể tái tạo được nhiều chuyển động phức tạp, tương tự khí cụ mắc cài truyền thống, nhưng vẫn giữ được tính thẩm mỹ cao và sự thoải mái cho người đeo. Đây là một trong những cải tiến quan trọng giúp nâng cao hiệu quả của niềng răng trong suốt hiện đại.
Các loại khí cụ khác ít phổ biến hơn
17/ Nhóm khí cụ nong hàm
1. Rapid Palatal Expander (RPE / Hyrax)

RPE là thiết bị nong nhanh vòm hàm, thường dùng cho trẻ em và thanh thiếu niên có xương hàm trên hẹp. Cấu tạo gồm một khung kim loại gắn vào răng cối hai bên, ở giữa có một vít nong. Khi người niềng răng hoặc phụ huynh vặn vít, lực sẽ tác động tách dần đường khớp giữa hai nửa xương khẩu cái, giúp mở rộng cung hàm trên theo chiều ngang. RPE giúp cải thiện khớp cắn chéo (crossbite), tạo thêm không gian cho răng mọc đều, và hỗ trợ phát triển hàm trên hài hòa hơn với khuôn mặt.
2. Bonded RPE (RPE dán hoặc che phủ)
Bonded RPE hoạt động tương tự RPE truyền thống nhưng được dán trực tiếp lên răng thay vì gắn qua vòng kim loại (band). Nhờ đó, khí cụ này giúp giảm kích ứng nướu và hạn chế di chuyển không mong muốn ở răng cối. Lớp acrylic phủ ngoài có thể che phần mặt nhai, tạo hiệu ứng “bite block” giúp giảm cắn sâu trong khi nong hàm. Bonded RPE phù hợp với trẻ nhỏ hoặc những trường hợp cần bảo vệ men răng và mô mềm nhiều hơn, đồng thời mang lại cảm giác dễ chịu hơn khi đeo.
3. MARPE (Mini-implant Assisted Rapid Palatal Expander)
MARPE là phiên bản tiên tiến của RPE, được thiết kế dành cho người trưởng thành – khi đường khớp khẩu cái đã cứng và không thể nong chỉ bằng lực răng. Khí cụ này gắn thêm các mini vít (miniscrew) cắm trực tiếp vào xương khẩu cái để tạo neo xương thật sự. Nhờ vậy, MARPE có thể nong vòm hàm hiệu quả mà không làm nghiêng răng, giảm đau và tránh tổn thương mô nha chu. Đây là lựa chọn tối ưu cho người lớn muốn mở rộng cung hàm trên mà chưa cần can thiệp phẫu thuật.
4. Leaf Expander (máy nong dạng lá)
Leaf Expander sử dụng cơ chế lò xo dạng lá thép để cung cấp lực nong nhẹ và liên tục, thay vì vặn vít thủ công như RPE. Lực được phân bố đều và ổn định hơn, giúp người niềng răng cảm thấy dễ chịu và giảm đau sau khi nong. Thiết bị này được dùng cho những trường hợp cần nong chậm, như trẻ nhỏ hoặc người có mô xương nhạy cảm. Ngoài ra, Leaf Expander cũng ít cần tái khám để kích hoạt, giúp thuận tiện hơn trong quá trình điều trị.

5. Quad Helix / Coffin Spring
Quad Helix là khí cụ nong hàm dạng dây thép uốn hình chữ W hoặc M, gắn vào răng cối bằng vòng band. Nó tạo lực nhẹ để nong chậm vòm hàm và có thể chỉnh được nhiều hướng — từ mở rộng cung hàm, xoay răng cửa, đến di chuyển răng tiền hàm. Coffin Spring hoạt động tương tự nhưng thường dùng cho các trường hợp nhẹ hơn hoặc cần điều chỉnh linh hoạt. Ưu điểm của nhóm khí cụ này là dễ chế tạo, tái sử dụng được và không yêu cầu sự hợp tác của người niềng răng.
18/ Nhóm khí cụ kéo lùi hàm
1. Pendulum Appliance (khí cụ con lắc)

Pendulum Appliance là khí cụ trong miệng dùng để đẩy răng hàm trên lùi ra sau mà không cần nhổ răng. Cấu tạo gồm một khung acrylic tựa lên khẩu cái, nối với các lò xo titanium (TMA) cong dạng con lắc gắn vào răng cối. Khi kích hoạt, lò xo tạo lực nhẹ nhưng liên tục, giúp răng hàm di chuyển dần về phía sau (distalization). Thiết bị này hiệu quả với các ca chen chúc nhẹ đến trung bình, đặc biệt ở người niềng răng trẻ có khả năng đáp ứng tốt.
2. Distal Jet / Jones Jig / Beneslider / Keles Slider
Đây là các biến thể hiện đại của khí cụ kéo lùi răng hàm, khác nhau về cơ chế tạo lực: piston, thanh trượt hay lò xo nén. Distal Jet và Beneslider thường được cố định bằng mini vít để tăng độ ổn định và giảm tác dụng phụ trên răng trước. Jones Jig lại dùng lò xo NiTi có thể tháo lắp linh hoạt hơn.
Ưu điểm của các khí cụ này là hiệu quả cao, thẩm mỹ hơn so với Pendulum và ít gây khó chịu. Chúng được dùng phổ biến trong các ca cần tạo khoảng mà không muốn nhổ răng, đặc biệt trong điều trị toàn diện bằng mắc cài.
18/ Nhóm khí cụ chỉnh xương/hàm ở người niềng răng đang lớn
1. Twin-Block (khí cụ tháo lắp đôi)
Twin-Block là một trong những khí cụ chức năng phổ biến nhất để điều trị sai khớp cắn loại II (Class II) ở trẻ đang phát triển xương hàm. Cấu tạo gồm hai máng nhựa riêng biệt cho hàm trên và hàm dưới, giữa có gờ nghiêng giúp khi người niềng răng ngậm miệng, hàm dưới tự động đưa ra trước. Việc duy trì tư thế này kích thích xương hàm dưới phát triển về trước, đồng thời điều chỉnh khớp cắn và cải thiện diện mạo khuôn mặt. Ưu điểm là tháo lắp dễ, dễ thích nghi và có thể dùng song song với mắc cài để rút ngắn thời gian điều trị tổng thể.
2. Herbst Appliance (thiết bị cố định)

Herbst là khí cụ chức năng cố định, gồm các thanh kim loại hoặc ống trượt nối liền giữa hàm trên và hàm dưới. Mục tiêu là đưa hàm dưới ra trước liên tục, không cần sự hợp tác của người niềng răng.
Thiết bị này đặc biệt hữu ích cho trẻ hoặc thanh thiếu niên có hàm dưới lùi sau, gây sai khớp cắn loại II. Nhờ cố định nên lực được duy trì ổn định, hiệu quả nhanh và không lệ thuộc vào việc người niềng răng có đeo khí cụ đủ giờ hay không. So với Twin-Block, Herbst thường được chọn trong những ca cần lực liên tục và độ kiểm soát cao hơn.
3. Bionator / Activator / Frankel (FR) / Monobloc
Đây là các khí cụ chức năng cổ điển, được sử dụng từ giữa thế kỷ 20. Chúng thường là loại tháo lắp, có kích thước lớn hơn Twin-Block và bao phủ toàn bộ vòm miệng. Cơ chế hoạt động dựa trên việc định hướng hàm dưới ra trước và kích thích phát triển xương, tuy nhiên lực không ổn định bằng các thiết kế hiện đại. Frankel (FR) có thêm phần đệm mô mềm để kiểm soát cơ môi và má, giúp thay đổi mô chức năng. Dù ít dùng hiện nay, chúng vẫn có giá trị học thuật và được tham khảo trong các nghiên cứu chỉnh nha cổ điển.
19/ Khí cụ bị neo xương phức tạp
1. Mini-plates (tấm neo xương phẫu thuật)
Mini-plates là khí cụ neo xương cố định được phẫu thuật gắn vào xương mặt (thường ở vùng gò má hoặc xương hàm). Mỗi tấm kim loại nhỏ được bắt chặt bằng ốc vít, tạo điểm tựa chắc chắn cho dây cung hoặc lò xo kéo răng. Chúng được sử dụng trong các trường hợp cần di chuyển nhóm răng lớn, chỉnh khớp cắn phức tạp, hoặc khi neo bằng răng không đủ ổn định. So với mini vít (TADs), mini-plates cho lực kéo mạnh và hướng lực linh hoạt hơn, đặc biệt trong điều trị kết hợp chỉnh nha – phẫu thuật.
5. SARPE (Surgically Assisted Rapid Palatal Expansion)
SARPE là kỹ thuật nong hàm có hỗ trợ phẫu thuật, dành cho người trưởng thành khi khớp khẩu cái đã hợp nhất và không thể nong bằng RPE thông thường. Quy trình gồm phẫu thuật cắt xương nhẹ quanh đường khớp khẩu cái, sau đó gắn thiết bị nong (thường là Hyrax hoặc MARPE) để mở rộng vòm hàm. SARPE giúp tăng chiều rộng cung hàm, cải thiện khớp cắn chéo và tạo khoảng cho răng đều hơn. Đây là giải pháp an toàn, hiệu quả cao cho người lớn muốn chỉnh hàm mà không cần phẫu thuật lớn toàn hàm.
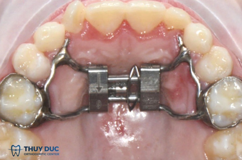
20/ Nhóm khí cụ dùng để duy trì và kiểm soát khoảng trống trong chỉnh nha
Đây là nhóm khí cụ dùng để duy trì và kiểm soát khoảng trống trong chỉnh nha gồm có TPA / Nance Holding Arch / Lingual Arch
- TPA (Transpalatal Arch): thanh kim loại nối giữa hai răng cối trên, giúp giữ vị trí răng hàm, chống di chuyển ra trước hoặc xoay.
- Nance Holding Arch: tương tự TPA nhưng có thêm đệm nhựa tỳ lên vòm miệng, tăng độ neo chặn.
- Lingual Arch: đặt ở mặt trong răng hàm dưới, giúp giữ khoảng sau khi răng sữa mất sớm.
Nhóm khí cụ này tuy đơn giản nhưng rất quan trọng, giúp ổn định kết quả niềng và ngăn răng dịch chuyển sai hướng.







